南大沢・京王堀之内の歯医者|ぐりーんうぉーく歯科|お子さまにも優しい歯医者さん
<診療時間> 9:00〜19:00
<休診日>水曜日・祝日
求人情報
0120-900-418
よい歯
メニューはこちらから
ホーム
| 治療内容
| お悩み相談
| スタッフ
| 医療設備
| 教えて歯医者さん!
| アクセス
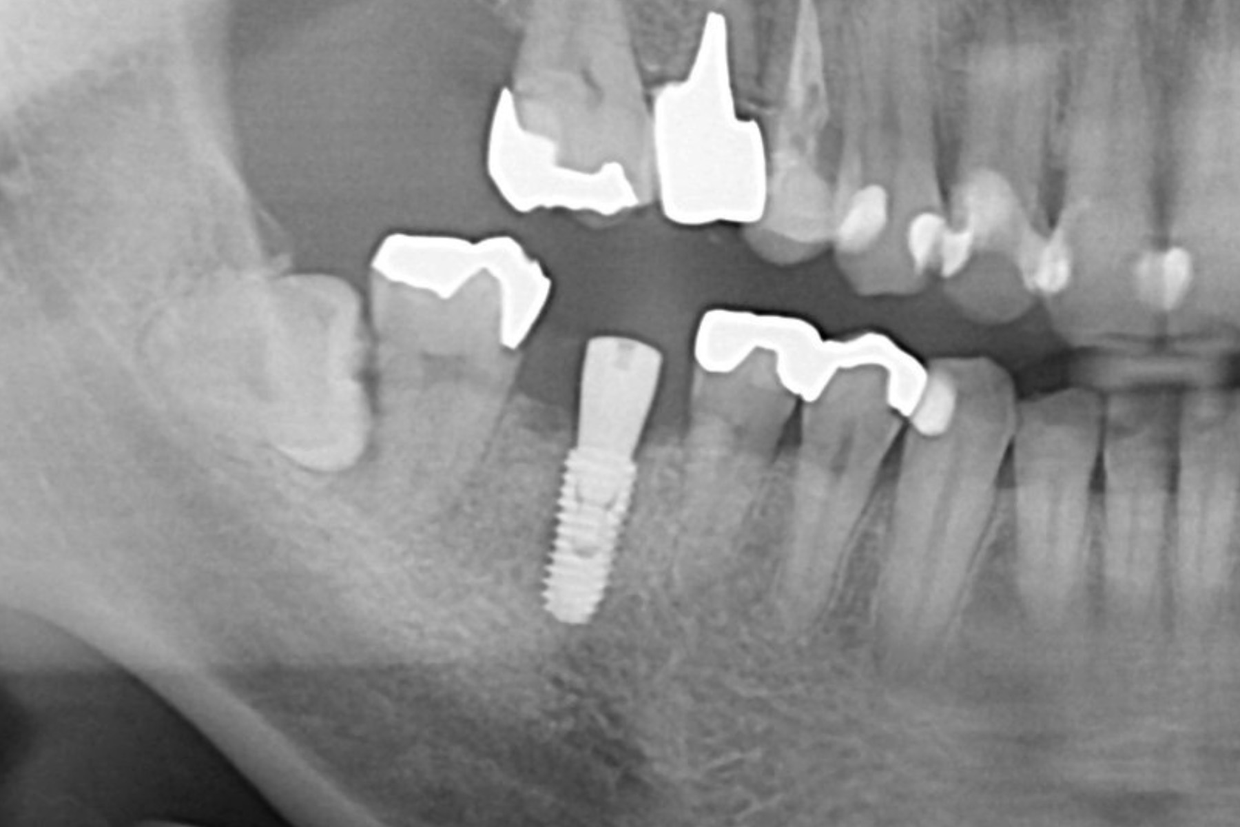
implant-case02-af1
2026/03/12
▲
お電話での
ご予約も可能です。お電話はこちら
0120-900-418